Authors Posts by Darwin Júnior
Darwin Júnior
Mulher é estuprada nos fundos da rodoviária e suspeito é preso durante o ato
Uma mulher de 35 anos foi estuprada na noite de sexta-feira (11), nos fundos da rodoviária de Torixoréu (577 km de Cuiabá). O suspeito,...
Motorista dos Correios atropela mulher na Ponte Sérgio Motta e relata momento do acidente
Em entrevista ao site Estadão Mato Grosso, o motorista do caminhão dos Correios, identificado como José, relatou os momentos de tensão durante o acidente...
Bebê e mais 3 pessoas morrem em grave acidente entre carro e caminhonete em...
Izael Paulo de Sousa, 58 anos, a esposa Angelice Krause da Silva, 32 anos, a filha do casal Ana Vitória Krause de Sousa, de...
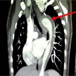
Mulher rompe aorta após orgasmo e sobrevive a condição rara e potencialmente fatal
Uma mulher de 45 anos sofreu o rompimento da aorta torácica durante um orgasmo e precisou ser internada às pressas em um hospital. O...
Seis são presos por morte de idoso acusado de estuprar crianças: 13 tiros
Seis pessoas, que não tiveram as identidades reveladas, foram presas nesta sexta-feira (11) suspeitas de integrar uma organização criminosa que teria ordenado a morte...
Casal é indiciado por ser mandante de homicídio do advogado Renato Nery
A Polícia Civil concluiu nesta sexta-feira (11), a terceira etapa do inquérito que apurou a participação do casal mandante do homicídio do advogado Renato...
China critica tarifaço contra o Brasil e acusa EUA de intimidação
O Ministério das Relações Exteriores da China criticou nesta sexta-feira (11) a tarifa de importação de 50% a produtos brasileiros anunciada esta semana pelo...
Motorista que matou motociclista e percorreu 49 km com corpo preso ao veículo é...
O Tribunal do Júri da Capital condenou José Eduardo de Oliveira a 12 anos de reclusão em regime fechado pelo homicídio qualificado de Fábio Pereira de Andrade, ocorrido...
Cão farejador encontra droga com jovem durante reportagem ao vivo na TV; vídeo
O que era para ser apenas uma reportagem educativa sobre o trabalho dos cães farejadores da polícia acabou se transformando em um flagrante inusitado...
Polícia divulga foto e segue caçada a suspeito de matar ex-jogador de vôlei
A DHPP (Delegacia Especializada de Homicídios e Proteção à Pessoa) de Cuiabá divulgou uma foto do empresário Idirley Alves Pacheco, que é procurado pela...










